Innovazione con rivestimento in argento riduce rischio infezioni
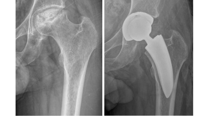
L’Ospedale di Perugia si conferma tra i centri di eccellenza della sanità italiana grazie all’introduzione di protesi d’anca rivestite in argento, una tecnologia che sta rivoluzionando la chirurgia ortopedica. La notizia, diffusa dall’Azienda Ospedaliera di Perugia, evidenzia come la struttura umbra abbia raggiunto risultati di rilievo, con oltre trenta interventi già eseguiti e un tasso di infezioni post-operatorie pari a zero.
La direzione della Clinica di Ortopedia e Traumatologia, guidata dal professor Auro Caraffa, ha puntato su un approccio innovativo che consente di ridurre in modo significativo le complicanze più temute negli interventi di protesi d’anca. Il rivestimento agli ioni d’argento, infatti, garantisce un’azione antibatterica costante senza alterare la biomeccanica dell’impianto né comprometterne l’integrazione ossea.
Il professor Giuseppe Rinonapoli e il dottor Michele Bisaccia, insieme al dottor Lorenzo Lucchetta, hanno eseguito gli interventi con risultati clinici incoraggianti. Rinonapoli sottolinea come la nuova tecnologia consenta di operare pazienti fragili, obesi, diabetici o immunodepressi, riducendo drasticamente i rischi. “È un passo avanti che permette di affrontare sia i primi impianti sia le revisioni protesiche con maggiore serenità”, spiega, ricordando che solo pochi centri in Italia hanno già adottato questa innovazione.
Il dottor Bisaccia evidenzia che la sicurezza si accompagna alla funzionalità, offrendo una chirurgia più personalizzata e moderna. Accanto a questo programma, l’équipe ha avviato un progetto dedicato ai pazienti più giovani, con protesi a conservazione del collo femorale, anch’esse rivestite in argento. Questa soluzione consente di preservare una maggiore quantità di osso e di mantenere una biomeccanica naturale, risultando particolarmente indicata per chi soffre di artrosi precoce, necrosi asettica o displasia congenita dell’anca.
Il direttore della struttura, professor Caraffa, esprime orgoglio per i risultati raggiunti e sottolinea l’importanza della sinergia tra pratica clinica e ricerca applicata. “La collaborazione con i principali centri italiani ci conferma tra i protagonisti di una nuova era della chirurgia protesica, caratterizzata da impianti più sicuri e tecnologie d’avanguardia”, dichiara. La fonte del comunicato, l’Azienda Ospedaliera di Perugia, ribadisce così il ruolo centrale della struttura nel panorama sanitario nazionale.
Antonio D’Urso, direttore generale dell’Azienda Ospedaliera, evidenzia come l’introduzione delle protesi rivestite in argento rappresenti un esempio concreto di innovazione al servizio dei pazienti. “La competenza e la dedizione dei nostri professionisti si traducono in un valore aggiunto per chi si affida alle nostre cure”, afferma, sottolineando l’impegno costante del team nel garantire trattamenti di qualità e sicurezza.
Il percorso intrapreso dall’ospedale umbro non è solo un risultato clinico, ma anche un segnale di fiducia per la comunità. La possibilità di offrire soluzioni avanzate a pazienti fragili o giovani con patologie complesse rafforza il legame tra innovazione e umanizzazione delle cure. La chirurgia protesica d’anca, grazie al rivestimento in argento, diventa così un esempio di come la tecnologia possa migliorare la vita quotidiana, riducendo complicanze e restituendo autonomia.
Con oltre trenta interventi già eseguiti e protocolli condivisi con altri centri italiani, l’Ospedale di Perugia consolida la sua posizione di eccellenza. La sfida è ora quella di estendere ulteriormente l’utilizzo di queste protesi, rendendo accessibile a un numero crescente di pazienti una chirurgia più sicura e duratura. La fonte del comunicato, l’Azienda Ospedaliera di Perugia, sottolinea che i risultati ottenuti sono il frutto di un lavoro di squadra e di una visione che mette al centro la persona.
La sinergia tra medici, ricercatori e direzione sanitaria ha permesso di consolidare un percorso che guarda al futuro con fiducia. La prospettiva è quella di un ampliamento progressivo del programma, con l’obiettivo di rendere disponibili queste tecnologie a un numero crescente di persone. In questo modo, l’esperienza maturata a Perugia diventa patrimonio collettivo, contribuendo a innalzare il livello della chirurgia ortopedica nazionale.
Il messaggio che emerge è chiaro: l’innovazione non è fine a sé stessa, ma si traduce in un beneficio tangibile per i pazienti e per la comunità. L’Ospedale di Perugia, grazie alla sua équipe di ortopedia, si conferma un punto di riferimento per chi cerca cure di qualità, sicurezza e attenzione alla persona.

Commenta per primo